Definition:
Placenta Increta is a kind of abnormal villous placental implantation at the intermediate spectrum of severity and complications. Placenta Increta is known to occur when the chorionic villi invade well into the myometrium but not through the entire wall.
Epidemiology:
Placenta Increta accounts for 20% of all known cases of abnormal villous placenta implantation, the estimated incidence is increasing and is thought to be around 1 in 50,000 pregnancies.
Pathogenesis:
In Placenta Increta the chorionic villi invades/penetrates well into the myometrium but not through the entire wall.
Risk Factors:
The risk factors for Placenta Increta are the same for Accreta
- Placenta Previa
- Prior cesarean section
- Uterine anomalies
- Previous uterine surgery
- Dilation and curettage(D&C)
- Myomectomy
- Maternal age greater than 35 years
- Multiparity
- Asherman's Syndrome
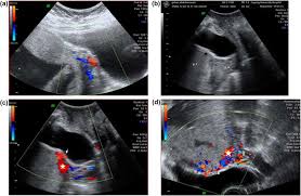
Diagnosis
The diagnosis of Placenta Increta is usually made with ultrasound during antenatal screening , as in the case of the less severe accreta, there can be focal obliteration of the hypoechoic retroplacental zone detected on ultrasound.
N/B: When a placenta Increta occurs on the posterior or lateral walls of the uterus, it may be difficult to detect by ultrasound.
MRI is also valuable in the diagnosis of Placenta Increta if ultrasound is inconclusive.
MRI is also valuable in the diagnosis of Placenta Increta if ultrasound is inconclusive.
Treatment and Prognosis:
Favorable treatment for placenta Increta is usually a hysterectomy, with the placenta still left in situ.
Complications:
Can progress to the most severe form like Percreta
Can progress to the most severe form like Percreta


No comments:
Post a Comment